なぜ、歯周病は口臭がするのか? 「膿」は肉眼でも確認できます。

 歯周病になると、「口臭がする」とか「口の中が粘つく」、などと言われます。

ただ本人には分かりづらいので、発見が遅くなることが多いです。
口臭も毎日ですし、口の中の粘つきも、「こんなのもだろう」と思ってしまえる範囲。

エイリアン並みにネバーっと激しく糸でも引けば別ですが、それほどでもなく、歯周病が進んでいなくても糸は引くので気づきにくい状態です。

 さて、「なぜ、歯周病は口臭がするのか」、という問題ですが、
それは、歯周病の現場、そこから発生するものがあるからだと思います。

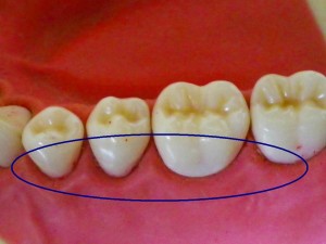
 下の写真の、青い丸の中、歯と歯ぐきの間に注目して下さい。

IMGP4373 point1

この写真の、歯と歯ぐき間に隙間があるのが分かりますか?

先日の記事(『患者様のブラッシングで歯科医師や歯科衛生士が見ているところ。』)でもこの写真をのせ、歯垢の落とし方を書いたのですが、
歯周病の原因は、この歯と歯ぐきの間に歯垢(細菌)が入り込むことです。

少し分かりにくい写真かとも思うのですが、この歯と歯ぐきの境目の部分には、隙間が空いています。

なので、こんなことをしても、あまり痛みはありません。

IMGP4385

この隙間は健康な歯ぐきでも、2㎜ぐらい空いているので、器具の先は痛み無く入ります。

ここが「歯肉溝」(3㎜以上の深さになった場合、「歯周ポケット」と名称が変わる)と呼ばれるところなのですが、

歯周病の原因菌はこの歯肉溝(歯周ポケット)から侵入し、留まることで、
歯と歯ぐきを結びつけている繊維組織を断ち切り、歯を支えている骨(歯槽骨)を溶かし始めます。

これは短期間のウチに急激に進行することのほうが少なく、多くの場合長期にわたって、そこに歯垢があることにより、
何年もかけて骨が溶かされ続ける慢性病です。

このため、骨が溶けるほどの炎症を起こしているにもかかわらず、痛みや熱がほとんどありません。

これが歯周病という病気なのですが、
この歯周病になると、骨が溶け、膿が発生します。

そして膿が、この歯と歯ぐきの間から出てくる。

実はこの膿は、肉眼でも確認することが出来ます。

 歯周病に罹って骨が溶け、膿が出ている患者様の歯ぐきのここらへん、を指でそっと押すと、
(ピンクの丸の一帯あたり、ちょうど、歯ぐきの下で歯槽骨が溶けていると思われる辺り)

 IMGP4387 point1

歯と歯ぐきの間(境目)から
白濁した膿がムニュムニュっと出てくるのが、目で見られることがあります。
(排膿(はいのう)といいます)

歯周病は長い年月、活動期と静止期を繰り返して骨(歯槽骨)を溶かし続けるそうで、
活動期に主に排膿が見られ、静止期にはあまり見られないなど、歯周病だからといって常に排膿が見られるわけではないそうですが、
現実に歯科医院では、患者様の歯と歯ぐきの間から、膿が出てくるのを診療で目の当たりにします。

この目に見える膿だけではなく、検知すると臭いの元のガスなども発生しているそうですが、
私は口臭で、歯周病だなと分かる臭いがあります。
普段の生活の中でも50歳代くらいの方とお話ししたときに、感じることが多いです。

普通、口臭は50㎝ぐらい離れると分からないそうで、
よく言われる口臭の対策には、「50㎝以上離れて近づかない」みたいな究極の?方法もありますが、(笑)

ときどき、この歯周病の方の口臭が、広がるように漂っていると、歯周病が進んでいるように感じ、
「歯医者さんに行った方がいい」、と冷静に思います。

「あ、排膿してるな」 とは思いますが、
私は意外と、この臭い…、
嫌いじゃない。(笑)
(多分、私だけ。(笑))

何というか、まあ確かに臭うのですが、
過去に優しくしてくれた患者様方を思い出すというか、
世の中のために尽くしたり家族のお世話をしていたり、立派な方々にも口臭が無いとは限らない。

二十歳代の何も知らない一所懸命なだけの、歯科衛生士の話を、
丁寧に聞いて、優しく言うとおりにして下さった患者の皆様に頭が下がるというか。

(本当は私が尽くすべきなのに)大人の患者様方に優しくしていただいたな~、という記憶の臭いなんですよね、多分私にとっては。
臭いが強ければ、「一緒に頑張りましょう」みたいな気持ちになる、というか。

ただ、決して香水にしたいとかそういう臭いではなく、世の中の皆さんにとっては、くさいと感じられる臭いでもあるので、
ここは歯科医院にいって、歯と歯ぐきの間の歯垢を取るように磨いて、歯周病治療をしていきましょう。

コメントは受け付けていません。